Kolon TissueGene, Inc.

Applications

TG-C

TG-C

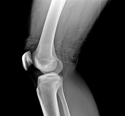
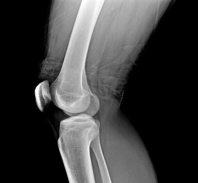
TG-C, our lead product candidate developed for the treatment of osteoarthritis (OA) of the knee, has completed Phase II trials in the U.S.

TG-C has the potential to become the first cell and gene therapy to effectively treat OA. Clinical trials conducted in the U.S. have demonstrated significant improvements in pain relief and joint function over a two-year period, along with indications of slowed disease progression of OA and structural joint improvements. As an allogeneic (off-the-shelf) therapy, TG-C may offer an alternative to conventional treatments and surgical interventions, or delay the progression of OA to minimize the need for multiple surgical interventions.

The Company has completed enrollment in its U.S. Phase III clinical trials, which are being conducted under a Special Protocol Assessment (SPA) agreement with the U.S. Food and Drug Administration (FDA). The trials are currently in the two-year follow-up period. The studies are designed to demonstrate and confirm TG-C’s efficacy in improving pain and function, and to support a potential designation as a disease-modifying osteoarthritis drug (DMOAD), which could make TG-C the first therapy to receive such a label from the U.S. FDA.

DMOAD (Disease-Modifying Osteoarthritis Drug)

With the continued growth of the OA market globally, there remains a critical need for advanced therapeutic options that can halt or slow disease progression. Current treatments primarily focus on symptom relief and are generally limited in duration and impact. In developing TG-C, Kolon TissueGene aims to introduce a disease-modifying osteoarthritis drug (DMOAD) that may offer an alternative to conventional therapies and surgical interventions, or delay OA progression to reduce the need for repeated procedures.

Kolon TissueGene is committed to improving OA-related pain and knee function, while also demonstrating structural benefits within the joint to interrupt the cycle of inflammation and cartilage degradation.

The Company has completed enrollment in two pivotal Phase III clinical trials in the U.S. These trials are currently in the two-year follow-up period and are designed to confirm TG-C’s efficacy in improving pain and function. Additionally, the Phase III program includes image biomarker assessments to evaluate structural progression, supporting the Company’s objective to seek a DMOAD designation for TG-C—potentially making it the first therapy to receive such a label from the U.S. FDA.

Extended Application of TG-C Within Osteoarthritis (OA)


Figure 1. Demography of OA patients according to the location of the affected joint.

Osteoarthritis patients can broadly be divided into three groups according to the location of the joint affected, with most patients suffering from OA of the hand joints, followed by OA of the knee and hip (Figure 1). Although we are currently developing TG-C to treat the knee OA application, as shown in figure 1 there are still large populations of individuals affected by OA in other joints who may be able to benefit from treatment with TG-C. TG-C has been tested in the U.S. for safety and efficacy as an OA treatment of the knee through Phase II clinical trials. Phase III clinical trials in the U.S. are currently in the two-year follow-up period. Additionally, TG-C-K has also completed Phase III clinical trials in South Korea. Based upon TG-C promising results in targeting OA of the knee, Kolon TissueGene is planning to expand the indications for TG-C through additional clinical trials to include both OA of the hand and hip. Successful completion of these trials will allow many individuals currently suffering from the severe pain, swelling and stiffness associated with OA to experience decreased pain and improved function through treatment with TG-C.

Application to Other Musculoskeletal Diseases

Rheumatoid Arthritis (RA)

In animal studies TG-C has shown to be effective in treating Rheumatoid Arthritis (RA). RA is an autoimmune disorder in which the individual's own immune cells attack the joints resulting in inflammation and damage to the articular cartilage and bone matrix. RA commonly occurs in the fingers and wrist, and is particularly observed in the knuckles which become swollen. Unlike OA which occurs in elderly populations, RA is often observed in young adults. The differences between OA and RA are shown in the table below.

When TG-C was injected into a rheumatoid arthritis (RA) animal model of inflammation, preliminary results in reducing the inflammatory response were quite promising. These results indicate the possibility of using TG-C in the future as a treatment for RA.

 

OA RA
Cause Aging, over-weight, repetitive movements Disorder of immune system
Symptom Uncomfortable walking, pain after movement Pain and fever in the joints, pain after rest
Affected Joint Large joints like knee, back and hip Small joints like finger, wrist and toe
Age Typically patients over 50 All ages

Meniscus

The Meniscus is a crescent-shaped fibrocartilaginous structure, located on the medial and lateral side of the knee joint. The meniscus protects the knee joint by alleviating the pressure on the knee and supporting the correct functioning of the knee. Meniscus damage in younger patients is typically caused by sports injuries, while meniscus damage in elderly patients is more often observed as a degenerative disorder. It is more common in women than men, and considered to be caused by pressure and stress accumulated from the individual's daily routines.

If the meniscus damage is not treated on time, it often develops into a more serious disease such as degenerative arthritis. In clinical trials of TG-C, evidence of the improvement of meniscus injury was observed, which suggests the potential for meniscus treatment by TG-C.

Spinal Discs

Spinal discs are rubbery structures located between the vertebrae that act as shock absorbers for the spine. Common disorders affecting these discs include spinal disc herniation and nucleus pulposus herniation, both typically caused by degenerative changes. These conditions can manifest as early as the late teens and are increasingly observed in active individuals between their 20s and 40s.

In nonclinical studies, TG-C demonstrated the ability to delay disc degeneration and showed preliminary evidence of inducing regeneration in damaged discs. Based on these findings, Kolon TissueGene received clearance from the U.S. FDA for an IND application in December 2023. The Company plans to initiate a Phase I clinical trial in the U.S. to evaluate TG-C in subjects with degenerative disc disease (DDD).

Companion Animal

Osteoarthritis is a common illness among companion animals. Based upon the results observed in nonclinical studies, TG-C has demonstrated efficacy in treating animal OA. It is anticipated that upon successful completion of the animal studies that TG-C will also be able to provide benefits to companion animals in alleviating their pain and slowing the progression of the disease.